Dr. Luz Amaro-Quireza
Amsler Grid abnormalities can indicate macular problems such as diabetic macular edema or age-related macular degeneration
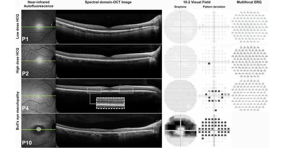
Monitoring effects of hydroxychloroquine
Dr. Amaro-Quireza of Columbia University Medical Center and Bronx Lebanon Hospital Center joins Retina Group of NY-LI Diagnostic Electrophysiology Center
— Dr. Amaro-Quireza
ISLANDIA, NY, USA, August 15, 2023/EINPresswire.com/ — The Retina Group of New York is proud to announce the addition of Dr. Luz Amaro-Quireza, a highly educated optometrist scholar and dedicated clinician, to their retina team. With an impressive array of credentials from top universities, Dr. Amaro-Quireza brings 16 years of academic experience as a faculty member and attending doctor at Columbia University Medical Center and Bronx Lebanon Hospital Center. Her expertise in electrophysiology and medical retina departments with world-renowned specialists has made her one of the most sought after professionals in the field.
Dr. Amaro-Quireza has been highly published in the field, particularly regarding visual monitoring for patients on hydroxychloroquine, and neuro-ophthalmic cases. She is also an active member of the European Academy of Optometry and Optics and the Association for Research in Vision and Ophthalmology. In addition to her professional work, she frequently participates in humanitarian services throughout El Salvador while continuing to lecture internationally on various topics within her field.
At the Retina Group of New York, Dr. Amaro-Quireza will be responsible for developing a comprehensive diagnostic electrophysiology center focused on serving Long Island’s growing population with retinal diseases such as hereditary retinal conditions, macular degeneration, diabetic retinopathy, uveitis, retinal detachment and other eye conditions that affect vision or cause blindness. This new center will provide advanced testing including optical coherence tomography (OCT), fundus photography , angiography, automated visual fields, color, contrast and night vision testing as well as specialized tests like visual evoked potentials (VEP) electroretinography (ERG )and multifocal ERG (mfERG), the most sensitive test for Plaquenil and Hydroxychloroquine monitoring.
“I am thrilled to join The Retina Group of New York during this exciting time,” said Dr. Amaro-Quireza about her new position at the Retina Group of New York. “I look forward to working with my retina colleagues here to build a premier Long Island Retina Diagnostic Electrophysiology Center that provides high quality care for patients suffering from retinal diseases.”
The Retina Group of New York is committed to offering its patients unparalleled treatment options supported by cutting edge technology, skilled surgeons, experienced staff members and superior patient care programs that are tailored to meet each individual’s needs. With Dr. Amaro-Quireza joining their team they are confident that they can continue providing excellent care long into the future by establishing a LI Retina Diagnostic Electrophysiology Center with her guidance.
For over 25 years, Retina Group of New York has been offering comprehensive eye care services including second opinions. At Retina Group, we understand that every patient’s eyesight is unique—and so is their approach to treatment. Care is tailored to each patient’s individual needs while utilizing cutting-edge technology—all delivered with compassion. Dr. Amaro-Quireza’s multilingual skills will also help with the retina education of the with the Hispanic and Italian communities.
“We’re proud to welcome Dr. Amaro-Quireza to our retina team,” said James M. Maisel, MD , Founder and CEO of the Retina Group of New York. “Her expertise will bolster the Retina Group’s level of service and help us continue providing exceptional eye care services to our community.”
For more information about the Retina Group of New York and its services, visit https://rgony.com/ or call 516-939-6100 or 631-273-1818.
Contact: The Retina Group of New York
400 S. Oyster Bay Road, Hicksville NY 11801
(516) 939-6100
1455 Veterans Memorial Highway, Islandia, NY 11749
(631)-273-1818
Website: www.rgony.com
James M. Maisel, M.D.
CEO, Retina Group of New York
+1 631-273-1818
email us here
Visit us on social media:
Facebook
Twitter
LinkedIn
Instagram
![]()
































